This procedure fuses together vertebrae to stop progression of scoliotic curves. In his system, correction force was applied with distraction along the concavity of the curve.
This prevents the vertebrae from growing any further which would worsen the curvature.
Surgical treatment for scoliosis. The good news is that advances in treatment have allowed for better success rates, making surgery a successful option for patients with scoliosis. Your surgeon, who is an expert in complex spinal surgery, will discuss these risks with you prior to your surgery. If the curve is increasing over time, or if it is between 25 and 40 degrees, treatment with bracing is used.
Every patient is different, but common known risks are the following: Great progress has been made in recent years in treatment for that middle range of scoliosis to stop the progression and avoid the need for surgery. Incorporating the schroth method , our specialised scoliosis therapy courses can achieve superb results and enhance your quality of life without any side effects or invasive surgical procedures.
In his system, correction force was applied with distraction along the concavity of the curve. Surgical treatment for scoliosis can be divided into fusion surgery and fusionless surgery. However, no study has investigated the outcomes and complications of different surgical interventions.
Surgery can be performed for smaller curves if the appearance of the curvature is bothersome to the patient or if symptoms are associated with the scoliosis in. Severe scoliosis typically progresses with time, so your doctor might suggest scoliosis surgery to help straighten the curve and prevent it from getting worse. The surgical plan must address the patients� complaints and maintain or restore spinal balance, especially sagittal balance.
Scoliosis is most common in late childhood or early adolescence and is more prevalent among females. Unfortunately, a spinal fusion surgery cannot correct the curvature that has already taken place. An analysis of 20, 346 patients j.
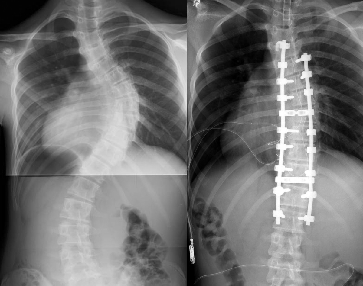
Surgery to correct scoliosis involves placing one or two metal rods stabilized by hooks and screws along the spine in an effort to prevent further curvature. Posterior fusion with instrumentation has been a standard of the surgical treatment for scoliosis since first introduced by paul harrington. The traditional way to treat scoliosis involves periods of observation, bracing (though this is generally for adolescent patients whose spines are not fully developed) and then surgery if the curve progresses much past 40 degrees.
The upper and lower back are the most commonly affected areas, but the curvature can occur anywhere along the spine. This prevents the vertebrae from growing any further which would worsen the curvature. Surgical treatment of adult scoliosis is a challenge even for experienced spinal surgeons, the increase in life expectancy will lead to an increase in spinal pathologies with evermore pressing requests on the part of patients for an improvement in quality of life and only a decision for correct surgical treatment and an appropriate surgical technique can reduce the.
With severe symptoms and failure of all nonoperative treatment methods, surgery is considered. The procedure chosen will be based upon your child�s specific case. Surgical treatment is reserved for curves which are generally greater than 50 degrees for adolescent patients and adults.
Scoliosis treatment options range from conservative observation to bracing and surgical intervention. Scoliosis is a condition in which the spine curves to one side. A spinal fusion surgery has been proven to stop progression of scoliosis.
In india there is only one proactive clinic is working since 10 years on this scoliosis treatment and get very good results on scoliosis. Many doctors will tell you that surgery is the only way to treat a. The general idea is to move the bones of the spine (vertebrae) back into anatomical alignment and then fuse the bones in place to form a solid bone.
In this procedure, surgeons connect two or more of the bones in the spine (vertebrae) together so they can�t move independently. Surgical treatment of adolescent idiopathic scoliosis in the united states from 1997 to 2012: Based on two factors scoliosis treatment depends on the skeletal maturity of the patient (how much more growth can be expected) and the degree of spinal curvature.
In his system, correction force was applied with distraction along the concavity of the curve. While most cases are mild with few symptoms, some are severe, requiring extensive treatment, even surgery. Everything you need to know.
The future, therefore, belongs to the conservative, non. , 16 ( 2015 ) , pp. The surgeon uses pins and bone grafts to keep the rod in place next to the spine.
Posterior fusion with instrumentation has been a standard of the surgical treatment for scoliosis since first introduced by paul harrington. The standard surgical treatment for scoliosis is a spinal fusion that corrects spinal deformity curves. With any of the surgical options, maximizing nutrition and medical status prior to surgery are critical to minimize complications.
When the angle exceeds 45 to 50 degrees, surgical correction may be necessary. This procedure fuses together vertebrae to stop progression of scoliotic curves. The purpose of the surgery is to fuse the curved vertebrae of the spine into one large bone.
In addition the presence of the scoliosis affects treatment when pain is the main complaint. Scoliosis surgery is complex and therefore, there are important risks to consider.