Proton therapy for brain tumors is generally recommended because of the tumor’s proximity to delicate and vitally important normal tissues and structures. This means that your doctor may be able to decrease dose to the surrounding healthy brain, which could lead to fewer side effects during or after completion of radiotherapy.
“we use the latest proton technology to help reduce side effects that occur both during and after treatment in cases where tumors grow in critical areas,” says christina tsien, m.d., medical director of the proton center and a leading expert in the treatment of brain tumors.
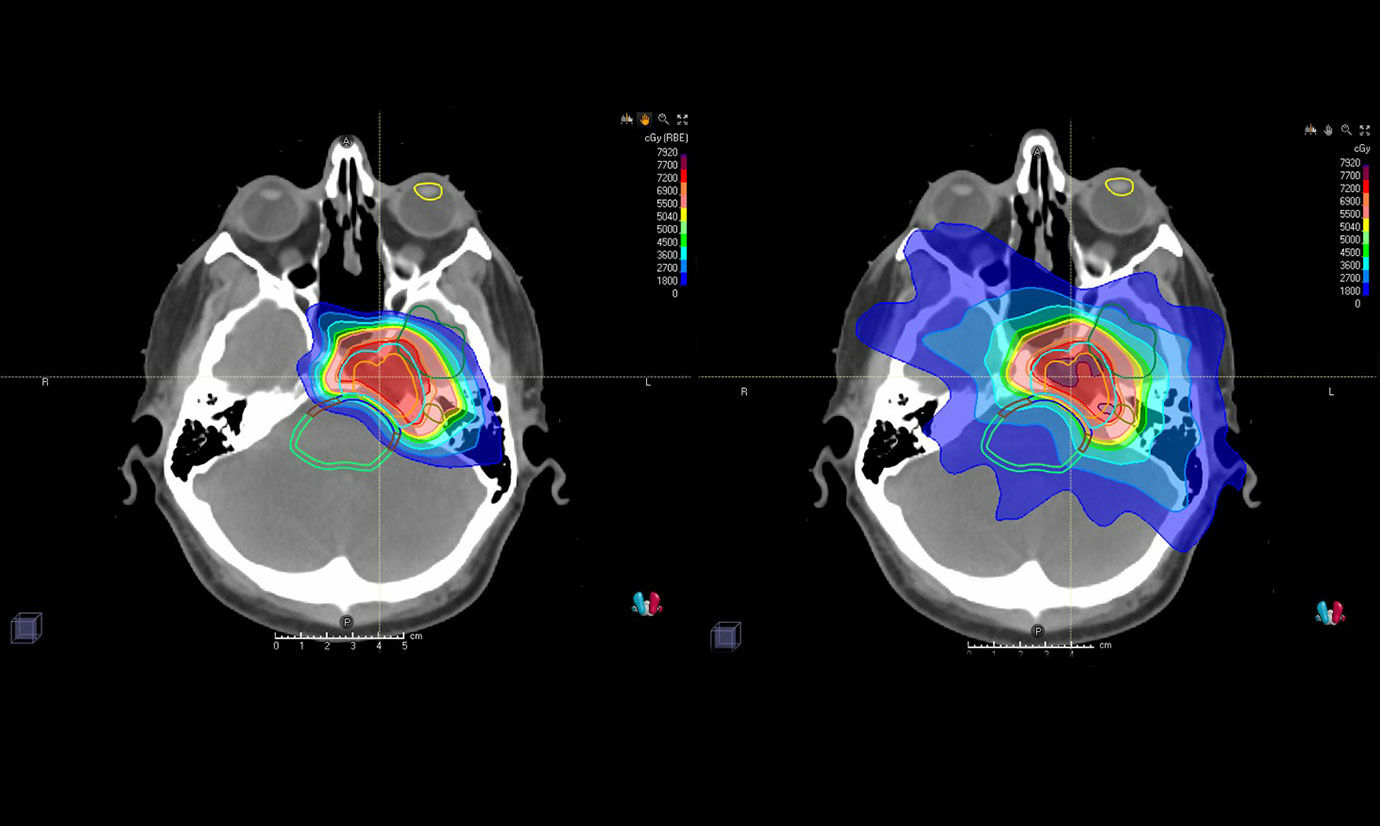
Proton treatment for brain tumors. Brain tumours proton therapy in children “we use the latest proton technology to help reduce side effects that occur both during and after treatment in cases where tumors grow in critical areas,” says christina tsien, m.d., medical director of the proton center and a leading expert in the treatment of brain tumors. The proton therapy center in prague uses unique and innovative treatment procedures that minimize undesirable exposure of the surrounding tissues, such as the optic and auditory nerve, hippocampus, or brain stem to radiation.
We fundamentally treat all types of brain tumours, both benign and malignant. Food and drug administration (fda) approval for the treatment of certain cancers, including brain tumors. The benefits of proton radiotherapy for tumors of the central nervous system may already be seen in the course of treatment when the vast majority.
Brain tumors that are most suitable for proton therapy are as follows: Since dna damage to normal cells may lead to. Proton therapy, also known as proton beam therapy, is a form of radiation treatment used to destroy tumor cells.
As a result, patients get the benefit of extremely precise tumor targeting with a lower. Welcome to cancer newsline, a podcast series from the university of texas m.d. She says proton therapy may be suitable for brain and spinal cord radiation in cancers such as:
Proton therapy is a treatment option for some patients that can precisely target tumors while minimizing impact on surrounding tissues. In 1991, loma linda medical center Also, the proton therapy is an excellent treatment of tumors in children, since it has a minimal negative effect on the immature, sensitive tissues of the child’s body.
The ability to target proton therapy with laser precision on a minute area of the body enables physicians to attack malignant tumors, while limiting risk to surrounding healthy brain tissue and sensitive nerves in the spine. Benign brain tumors need to be treated because they can cause serious health problems by pressing on sensitive areas of the brain. The protons can be controlled with greater precision to conform to.
Md anderson cancer center date: Stability during treatment while proton therapy has been used to treat tumors for nearly 60 years, it has more recently become approved in the united states. Proton therapy for brain tumors is generally recommended because of the tumor’s proximity to delicate and vitally important normal tissues and structures.
Cancer newsline helps you stay current with the news on cancer research, diagnosis, treatment, and prevention providing the latest information. Proton therapy for brain tumors. Advantages of proton therapy for brain tumors.
Additionally, some benign tumors can become malignant over time. The university of florida offers proton therapy for brain cancer treatment. Gliomas, glioblastomas, ependymomas, medulloblastomas, pineal tumors, supratentorial pnet, germ cell tumors, pituitary gland tumors, base of skull tumors (chordomas), almost all pediatric brain tumors, recurrent brain tumors and benign tumors.
The proton therapy is mostly used for the treatment of tumors of the eye, brain, spine and pelvic organs. Due to their remarkable physical properties, delivering their radiation to a very precise brain volume with no exit dose, protons are. The fda (food and drug administration) approved proton therapy for brain tumor treatment;
Germ cell tumors of the brain; The department is headed by prof. Brain tumors most appropriate for proton therapy include:
Proton therapy is often considered an ideal treatment for cancers located in the brain or spine. The benefit of proton therapy is that there is little to no radiation dose beyond the treatment area. In 1988, proton therapy received u.s.
Proton beam therapy, as discussed below, may do less damage to nearby normal tissues. Proton therapy for brain tumors. Proton beam therapy (pbt) is a particle radiotherapy with excellent dose localization that permits treatment of liver and lung cancer by administration of a high dose to the tumor while minimizing damage to surrounding normal tissues.
This means that your doctor may be able to decrease dose to the surrounding healthy brain, which could lead to fewer side effects during or after completion of radiotherapy. Proton therapy for brain tumors is generally recommended because of the tumor’s proximity to delicate and vitally important normal tissues and structures. Brain tumors most appropriate for proton therapy:
The precise area of delivery offered by proton beam therapy may be beneficial for brain tumors in which even small amounts of damage to nearby normal tissues could have significant side effects. It is more targeted than conventional radiotherapy so does less damage to the healthy tissue around the tumour and in the rest of the brain. Proton therapy for brain tumors treating these tumors with conventional radiation therapy poses risks of neurological deficits, hormonal deficiencies and intellectual impairment.
Proton therapy treatment for brain tumors. Proton therapy (pt) has been administered for many years to a number of cancers, including brain tumours. Proton therapy can be used to treat certain brain tumors by delivering high doses of radiation to tumors with accuracy.
Past treatments include surgery and one course of proton beam radiation.