Revised distal humerus module is. Open reduction and internal fixation (orif) of femoral head fracture is the preferred treatment for most patients.
How long does it take for a femoral stress fracture to heal?
Femoral head fracture treatment. Our results by using conventional approaches were associated with high complication rates. Operative treatment of displaced femoral head fractures can be either in the form of internal fixation or simple excision of the fracture fragments. The first phase of treatment is to reduce the femoral head, if dislocated.
Most fractures of the femoral head are treated surgically, given the tendency for these fractures to have displacement and joint incongruity. The primary goal of treatment for proximal femoral fractures is restoration of the patient’s normal functional mobility. The rod passes across the fracture to keep it in position.
In younger patients, preservation of the native femoral head allows full return to normal activity and low risk of future complications if the fracture heals ( 1 ). Associated fractures of the hip itself, such as acetabular wall fractures and femoral head fractures, may require surgical intervention even if the hip dislocation can be reduced in a closed fashion. The fracture occurs on the femur close to the knee.
Femoral head fractures are associated with a posterior hip dislocation and acetabular fracture, although the fracture can occur in the absence of either of these conditions. It can sometimes happen after an acl reconstruction. Treatment consists of urgent closed reduction of the dislocated hip followed by nonsurgical or surgical management of any associated fractures.
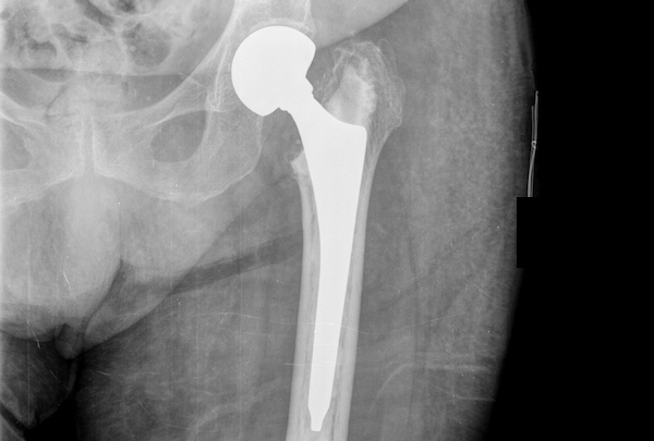
A closed reduction should be attempted, in the interest of time. 23 hip dislocations require urgent reduction because the vascular supply to the femoral head may be compromised. Your upper femur and the socket in your pelvic bone are replaced with artificial parts (prostheses).
An intramedullary nail can be inserted into the canal either at the hip or the knee. Femoral head fractures are associated with posterior and anterior dislocations of the hip. Further endeavor to improve the outcome should be taken.
How femoral fractures are treated. Fracture healing can be attained in all femoral head fractures by using open reduction and screw fixation. However, the optimal surgical approach for the treatment of femoral head fracture remains controversial.
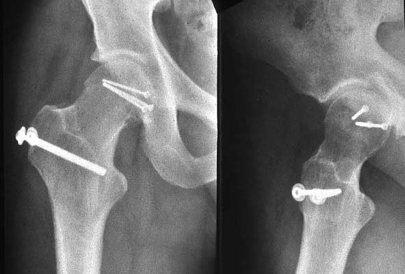
Wide treatment options for pipkin 1 femoral head fractures range from fragment excision, fixation following open reduction with internal fixation, or conservative treatment such as close reduction alone after fracture dislocation. The one exception to this is if there is a femoral neck fracture, at which point open reduction is almost certainly necessary. Controversies include the preferred surgical approach (anterior versus posterior) and whether to perform femoral head fragment excision or internal fixation.
Fracture management with minimal resources. Open reduction and internal fixation (orif) of femoral head fracture is the preferred treatment for most patients. The bone can fracture in different ways.
Surgical dislocation approach has shown some promise in improving the. Currently, the method most surgeons use for treating femoral shaft fractures is intramedullary nailing. Revised distal humerus module is.
During this procedure, a specially designed metal rod is inserted into the canal of the femur. Stop any moderate activity and repetitive, stressful exercises (running, squatting, cycling). Courses, webinars, and online events, in your region or worldwide.
And outcome of a hip dislocation. Femoral head fractures are rare traumatic injuries that are usually associated with hip dislocations. Treatment may be nonoperative or operative depending on the location of the fracture and degree of fracture displacement.
Open reduction and internal fixation of the fracture of the femoral head is the treatment of choice for most young patients. The treatment of femoral head fractures associated with acetabulum fractures, pipkin iv fractures, presents difficulty as usually the femoral head. Surgical approach and fracture management is variable.
There are several surgical approaches and treatments for this difficult fracture. Sometimes screws are attached to a metal plate that runs down the femur. When surgical intervention is indicated, there are multiple approaches that can be successfully and safely used for definitive fixation.
In some selected cases when there is a very small fragment located in the region below the fovea, removal should be indicated. Small series constitute the majority of the available literature. How long does it take for a femoral stress fracture to heal?
Femoral stress fractures take several months to fully heal. Hip dislocations associated with a fracture either of. The treatment of a supracondylar femur fracture is highly variable and may involve a cast or brace, an external fixator, an intramedullary rod, or the use of plates and screws.
Background femoral head fractures:femoral head fractures: The standard of care for a displaced fracture where the blood supply is disrupted involves replacing the femoral head (hemiarthroplasty or a total hip. Metal screws are inserted into the bone to hold it together while the fracture heals.
23 management of hip dislocation without fracture includes closed reduction under conscious. Treatment a femur fracture is always considered a medical emergency requiring immediate evaluation and treatment in a hospital. The use of the transtrochanteric or.
The femoral head or the acetabulum significantly change the treatment.