Advances in sct processes mean this treatment could also be an option for some older patients. Supportive care with blood transfusions, growth factors and antibiotics to treat symptoms by increasing blood counts and stopping infections;
Chemotherapy to kill cells cancer cells using cytotoxic agents
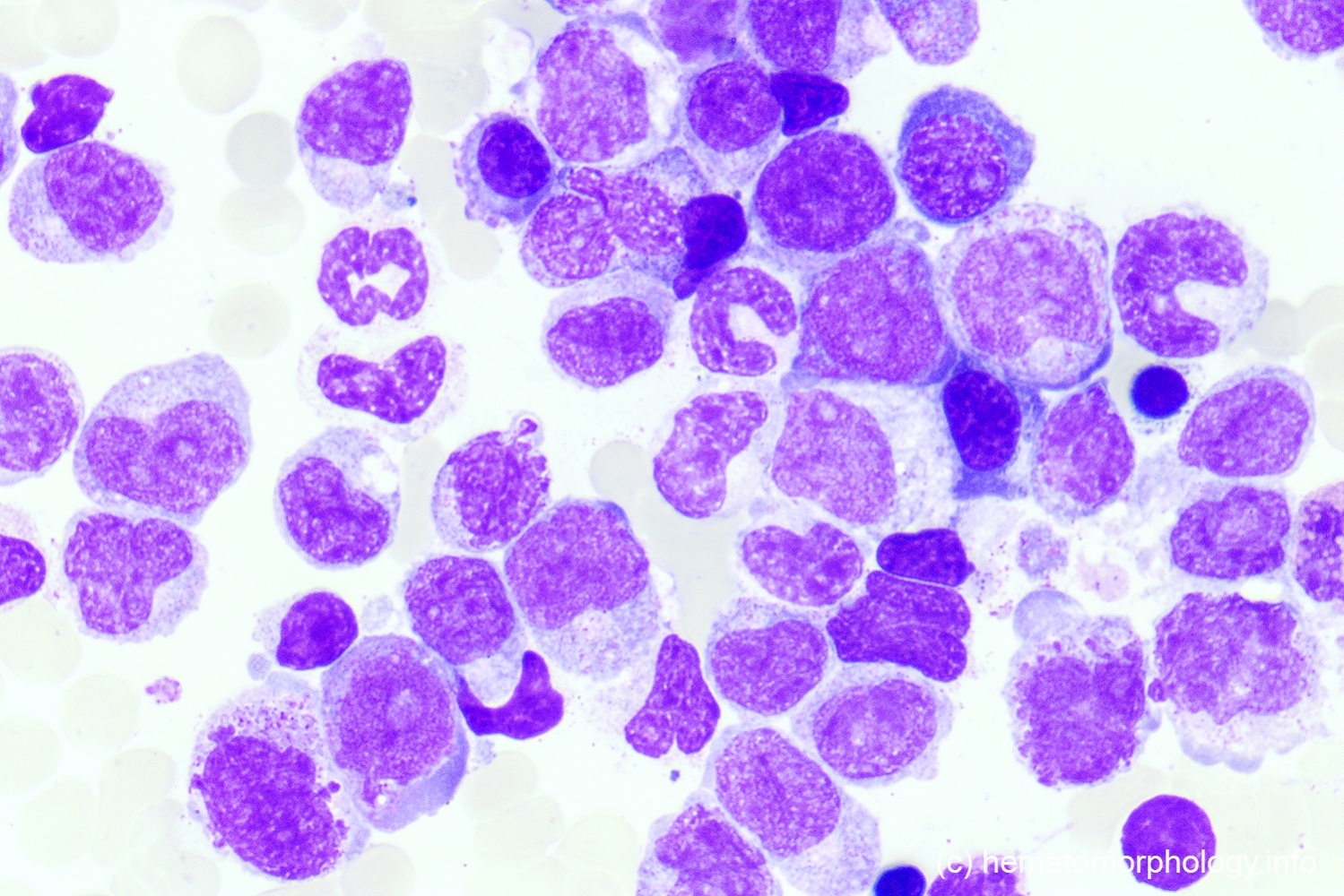
Chronic myelomonocytic leukemia treatment. Harel s, cherait a, berthon c, et al. Cmml is a form of leukaemia that is characterised by high numbers of white blood cells, called ‘monocytes’, in the blood and bone marrow. It�s a very rare type of cancer which affects 4 of every 1 million people in the u.s.
A randomized trial of hydroxyurea versus vp16 in adult chronic myelomonocytic leukemia. Doctors use several types of treatment for adults with cmml, although there�s no one standard drug therapy for the disease: Supportive care with blood transfusions, growth factors and antibiotics to treat symptoms by increasing blood counts and stopping infections;
Seclidemstat may stop the growth of cancer cells by blocking some of the enzymes needed for cell growth. Curr treat options oncol 3 (3): Proposed treatment algorithm for patients with chronic myelomonocytic leukemia.
This phase i/ii trial identifies the best dose of seclidemstat when given together with azacitidine in treating patients with myelodysplastic syndrome or chronic myelomonocytic leukemia. Chronic myelomonocytic leukemia (cmml) is a disease of the elderly, and by far the most frequent overlap myelodysplastic/myeloproliferative neoplasm in adults. Intake of apigenin along with cytarabine treatment for chronic myelomonocytic leukemia (cmml) causes a decrease in a specific biochemical pathway which is called hypoxia, and this is a very positive effect.
Chronic myelomonocytic leukemia is a disease in which too many myelocytes and monocytes (immature white blood cells) are made in the bone marrow. Treatment for chronic myelomonocytic leukemia (cmml) our physicians are part of a multidisciplinary team whose approach to cancer and blood disorders is to personalize the treatment plan for each patient and to treat them holistically, focusing on the whole person and not just on their disease. Cmml leukemia is a slowly progressing form of cancer that affects the children under 5.
Signs and symptoms of chronic myelomonocytic leukemia include fever, weight loss, and feeling very tired. Historically, prognostic markers and therapeutic paradigms have been applied from myelodysplastic syndromes (mds) or myeloproliferative neoplasms (mpns). [pubmed abstract] wattel e, guerci a, hecquet b, et al.:
The world health organisation (who) has included cmml in a group of blood cancers called myeloproliferative and myelodysplastic disorders. Wijermans pw, ruter b, baer mr, slack jl, saba hi, lubbert m. Aside from the chronic monocytosis that remains the cornerstone of its diagnosis, the clinical presentation of cmml includes dysplastic features, cytopenias, excess of blasts, or myeloproliferative features.
Importantly, clinical trial enrollment is encouraged, if available, in all patients. Topotecan, a topoisomerase i inhibitor, is active in the treatment of myelodysplastic syndrome and chronic myelomonocytic leukemia. Older age and being male increase the risk of chronic myelomonocytic leukemia.
Haematopoietic stem cell transplant remains the only curative treatment for cmml. Outcome of patients with high risk myelodysplastic syndrome (mds) and advanced chronic myelomonocytic leukemia (cmml) treated with decitabine after azacitidine failure. It may be the treatment of choice for younger patients when a matched donor is available.
Treatment of cmml depends on how severe the disease is, as well as the patient’s age and health. Beran m, estey e, o�brien s, et al. Learn about symptoms, diagnosis, and treatment.
What is chronic myelomonocytic leukaemia (cmml)? Cmml is an uncommon blood cancer. In most cases, cmml can�t be cured, but it can be treated.
Chronic myelomonocytic leukemia (cmml), a clonal hematopoietic malignancy characterized by persistent monocytosis, combines myeloid cell proliferation with myeloid cell dysplasia and ineffective hematopoiesis, and has thus been classified by the world health organization (who) as a myelodysplastic syndrome (mds)/myeloproliferative neoplasm (mpn). Interest has increased recently in developing tailored approaches for the mds/mpn overlap syndrome of. General approach to treatment of chronic myelomonocytic leukemia — american cancer society stem cell transplantation — leukemia & lymphoma society chemotherapy for chronic myelomonocytic leukemia — american cancer society
If sct is not an option, cmml is not curable. Topotecan and cytarabine is an active combination regimen in myelodysplastic syndromes and chronic myelomonocytic leukemia. Results of an italian retrospective study.
Beran m, kantarjian h, o�brien s, et al. Basil hence should be eaten with cytarabine treatment for chronic myelomonocytic leukemia (cmml). However, due to the late age of onset and.
Although this does not capture every clinical scenario, it should be used as a guide for clinicians. Monocytes are a type of white blood cell. Chronic myelomonocytic leukemia starts forming the malignant cells in the bone marrow and there is an overproduction of white blood cells from the hematopoietic stem cell.
Efficacy of decitabine in the treatment of patients with chronic myelomonocytic leukemia (cmml). Chronic myelomonocytic leukaemia (cmml) is a rare type of blood cancer. Chronic myelomonocytic leukemia (cmml) is a clonal hematopoietic malignancy that may deserve specific management.
Chronic myelomonocytic leukemia (cmml) is a blood cancer affecting myeloid stem cells in the bone marrow. In cmml there are too many monocytes in the blood. Fianchi l, criscuolo m, breccia m, et al.
P<0.0001), compared to myelodysplastic syndromes. Advances in sct processes mean this treatment could also be an option for some older patients. In conclusion, chronic myelomonocytic leukemia is less.
Adjusted estimates, controlling for baseline characteristics and selected treatments, indicate that chronic myelomonocytic leukemia was associated with an increased risk of progression to acute myeloid leukemia or death (hr 2.22; Chemotherapy to kill cells cancer cells using cytotoxic agents Chronic myelomonocytic leukemia (cmml) is a rare and often aggressive myeloid malignancy.
Stem cell transplant (sct) is the only way to cure patients with chronic myelomonocytic leukemia (cmml). Groupe français des myélodysplasies and european cmml group.